Tongue Web Piercing

From BME Encyclopedia
Jump to: navigation, search

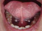
The tongue web piercing spent some time being relatively rare, but given the fact that it's not normally visible, it's become surprisingly common.

The tongue web piercing is done through the webbing under the tongue. The healing process is relatively fast and is largely trouble-free. Care must be taken to clean it regularly as plaque builds up on it very quickly.

This piercing has no known historical basis in either permanent piercing or ritual piercing and is believed to date to the early 1990s.

Tongue Web Piercing
Tongue Web Piercing
Tongue Web Piercing
Tongue Web Piercing
Tongue Web Piercing

See Also