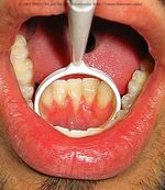
Gum Recession
When jewelry, generally labret and lip piercings, but also from tongue piercings rests against your gums, there is erosion over time. Just like water dripping on rock can dig a hole over years, a piece of metal rubbing on your gums can rub a hole in your gums, exposing the roots of your teeth.
Think that the roots of your teeth aren't covered of enamel.
I must emphasize that this type of problem is effectively irreversible (without surgery) and it will not just get better on its own! If you notice it happening deal with it immediately!
Obviously, this puts you at dramatically increased risk of gum and tooth disease, and risks the loss of the affected teeth altogether. Expensive surgery (gum grafts, where gum is removed from one part of your mouth and transplanted into the damaged area, generally start at over $500) is needed to correct this problem, so if you notice it starting, (again), deal with it immediately. One reader writes about their medical bills,
- "It didn't even take one month after getting my labret pierced before I noticed that my gums under my one tooth were wearing away. I downsized the jewelry but it kept wearing down. I let it stay in my mouth for two more weeks before having to take it out. Now I need to have $1500 worth of dental work done on my teeth and gums to repair the amount of damage done in the approximately six weeks I had my labret. The worst part of the whole thing is it looked so damn good on me!"
This risk can be minimized with careful choice of jewelry (determined by the shape of your anatomy) — although other factors such as smoking, diet, and even just genetics also play a role. A professional piercer can help you with this, including suggesting alternative jewelry if your gums are being eroded by what you are wearing. Please note that when this happens it is generally irreversible so don't let it progress if you notice it!!!
A reader writes in about their fishtail labret,
- "I've worn my labret piercing for close to four years now, and over time it has, in fact, worn away at my gums. The jewellery I wear has a fishtail backing, so the gum recession has occurred on the side the jewellery rests on. It's damaged only two of my teeth, which I guess I should be thankful for, but that's still two too many.
- I'd say that this is the kind of piercing one should only get if they don't plan on wearing it forever (Editor's note: an experienced piercer can tell you if your anatomy will allow this piercing permanently; many people have no recession problems at all), because the long term damage just isn't worth it. I miss my gums. There's a very noticeable difference between the damaged side & the side the jewellery doesn't come in contact with, and it's not pretty."
Along the lines of fishtail labrets, Robin writes to mention captive bead rings,
- "Both my friend Chris and I have our labrets pierced. His mom is an orthodontist. His gums were receding and he went and had surgery to fix them, and then refused to wear anything in the piercing for a long time. He finally put a CBR in it and it doesn't touch his gums, and his mom said that CBR's are okay, because they don't usually push up against the gums. That's what we both have now and everything's cool."
"Anna" writes in about their tongue piercing (which, as mentioned, can cause recession on the backs of the teeth — which is harder to notice),
- "Tongue piercings can erode your gums before you even realize it. I have had my tongue pierced for around five years and I recently started stretching my tongue. I had checked it for recession about two years ago and it looked fine (but recently I noticed) my gums behind my two bottom front teeth have dropped. I took the thing out because I would much rather have my teeth. It is really scary. I do not know much about this so I am worried whether my gums will heal back to normal. I surely hope so. Be careful and keep watch on those gums!"
Another writer has a similar story about their tongue piercing,
- "I had my tongue pierced for five years and loved every minute of it. I went to the dentist, and they said that it had in fact rubbed away the gums in the back of my bottom teeth. I had to have a skin graft, from the top of my mouth into a little pocket of skin behind my teeth to fix it. Your gums will not just "grow" back. It doesn't work that way. I've actually been thinking about piercing it again... I know, stupid, right? But, I've spoken to piercers and they tell me that as long as I keep the barbell short enough to where it won't come into contact with my teeth, it should be okay. Plus, the first time I had it pierced, it was really far forward. Make sure it's as far back as possible, and get the shortest barbell that's comfy."
Another reader writes to point out that smoking can also greatly increase your chances of gum recession,
- "It may be helpful to note that a number of things can cause gum recession, not the least of which is tobacco. My dental hygienist ran down a seemingly endless list of things that can cause gum recession, though both her and my dentist believe that is the deciding factor. Although I have no mods above the neck, I figure that I probably would not want to put any in my mouth if it had the possibility of aggravating this already painful condition. Somehow exposing the roots takes all the pleasure out of ice cream and really sweet chocolates. Until the condition gets real ugly they just 'paint' enamel on the exposed section. It is neither aesthetically pleasing nor completely effective."
Two readers wrote us to tell us about their problems with their Madonna piercings,
- "I ran into the problem of gum erosion with my Madonna. The initial stud, once the swelling went down, was far too long. It scratched at my gums and started to erode the gum over my canine. Several length-downsizes later, the problem seems to be under control, and only minimal erosion took place."
- "When I had my Monroe, major gum erosion happened almost immediately. It also started to wear at my teeth. Not even a year later, my tooth near the top of my gum where it is eroded is almost worn away, and the one next to it is affected as well."
Esmerelda wrote in to warn us that not all piercers may take you seriously when you report this happening — if you're worried, get a second opinion, and do mention it to your dentist (although most dentists will simply tell you to take it out rather than proposing alternate jewellery and so on),
- "I found this really helpful in discovering what was happening to my teeth. Unfortunately though it was a little late and my front bottom two teeth are now loose. This was caused by having a double labret piercing (one on top of the other) and I have now taken them out even though the damage is done. I would advise anyone who is considering a lip/labret piercing to go to a piercer that will advise completely honestly on jewellry to avoid gum recession, and not fob you off with crap about 'just keeping up with brushing'."
Just to be clear that there are also plenty of medical professionals that can give you good advice, an MD in the US sent me this brief note,
- "I have seen rubber backed piercings that seem to reduce the cause of this problem. Several of my associates in the dental profession concur."
Another reader writes in with advice along those lines,
- "I do not personally have my labret pierced but I do have braces. Most people with braces know that there is a product on the market called orthodontic wax that you put on your braces when they irritate the inside of your mouth. You just make a little wax ball and stick it on the braces (it sticks better if you dry the braces first with a napkin or something). I think that if people would put a little bit of orthodontic wax on the disk part of their labret stud, it would probably help with gum erosion or irritation."
It should be noted that if you use the orthodontic wax that it needs to be reapplied very regularly.
